
終於見到了佛史上傳聞的勝義火供大法 祿東贊法王生死自由 「墨跡未乾圓寂」
(攘瓊諾桑報導)2018年9月19日在美國聖蹟寺由巨聖德主持的「勝義火供法會 」在大雄寶殿與廣場之間正式舉行,功德圓滿。
參加這場稀世難逢的法會者,他們參加法會的因緣有兩種: 第一種直接參加者都是由一位玉尊、旺扎上尊、莫知教尊與祿東贊法王四人確定的聖德高僧與佛教寺院方丈住持、佛教機構負責人 。 第二種是隨緣參加,遇上了就遇上了,就參加了。
火供法是佛教的大法,尤其是藏傳佛教特別重視火供,在西藏、印度等地,連老百姓幾乎都耳熟能詳的息災、免難、除障、增福的著名大法。這部佛法,又名「勝義火壇護摩法」,但是往往上百年,難有一場真正的「勝義火供護摩法」,而人們參加的恰恰都是常規火供法。 「勝義火供護摩法」與常規火供所產生的加持力是天地差別。一步與萬里之遙。
旺扎上尊 和二位大聖德說到他們的親身經歷,近百年西藏有著名的大日如來頗邦卡大師和大月如來康薩仁波且修過此法,其中一位二段金釦的大聖德說:「我學了這個法,但沒有修成功,看來是道力和工夫還差,還需要努力。近幾十年來還沒有看到過哪個大聖德、大法王、大法師把勝義火供修成功的,勝義火供如果沒有修成功,就會只能作為普通火供的作用。」那麼成功與不成功的差別在哪裡呢? 首先,常規藏傳火壇供,或東密傳承火供(柴堆大法會),被人宣稱如何了得,我經瞭解後,結果,在點火時都是用人工點火,其加持力,怎能沾佛聖點火之邊?勝義火供就不同了,它必須祈請九位如來及金剛佛母,般若佛母,護法聖眾,親臨火壇,由虛空駕臨的金剛佛母親自點火,這才是真正的勝義火供。
這場勝義火供法會,參加的善信分列大雄寶殿內,眾目睽睽,近距離親眼目睹法會的過程。火供壇上要施用非常多不同的法器,火供壇是臨時打造的新火爐,不用任何電器和火器,就是一個純銅乾淨的爐子。有一個平板桌和所有法器,包括火爐,由志願者十多人在現場從上到下清洗得一乾二淨,將火壇爐放在平板桌上,裡面放上木材,檀香木,平板桌當時抬近大殿門上。主法巨聖德依法觀修,在約五十米遠左右是主法巨聖的法座,「點火衛士」是一個一段金扣的聖德波迪溫圖孺尊擔任,他將火籤浸上酥油,一步一咒字,走向火壇爐,大約隔六米遠,本來要點火,突然改變主意,站住對高空喊:「這一場勝義火壇護摩法是南無巨聖德主修,請金剛佛母點火,如果金剛佛母不點火,弟子波迪溫圖就點了!」隨著深深行了鞠躬禮。巨聖德站在遠處大聲喊道:「請金剛佛母為眾生除障、增福護摩點火!」話音剛落,突然虛空金剛佛母出現,我看到藍色金剛佛母用手一指彈入一道閃光,壇爐就燃了,壇爐在絲毫沒有火的狀況下,突然熊熊烈火燃起, 嚇得波迪溫圖連跑帶跳,轉身勒頭便拜,現場人人近距離看到火焰突然燃起,當下就地磕頭跪拜, 興奮無比,依儀規展開祈願燒護摩。
有一位佛教徒主動把勝義火供用的金剛伏魔鉢, 倒扣在一小平板桌上。 依據法義,鉢會收攝火供場中所有人的魔冤惡業,鎮服在鉢中,魔冤妄圖逃出鉢外,用盡全力將鉢發生震動,此時千鈞一髮之際,聽到「轟!」的一聲,金剛佛母一道閃電將鉢內惡魔與黑業化為齏粉,魔魂再由佛菩薩將之帶到佛土,嚴加管教。
巨聖德在遠距離,沒有接近過任何法器或法桌,接著修「暗送菩薩一表」大法, 現場所有人但見鉢口密合于平板桌的金剛伏魔鉢「轟」的一聲巨響,火光如閃電從鉢邊旋起旋滅,接著由會眾起鉢翻轉,鉢下、鉢內已空無ㄧ物,暗送菩薩的「一表」已被取走,無影無蹤活生生在眾目睽睽監看下,竟然消失了。「暗送菩薩一表法」修成功了!而被焚燒的魔屍,奇臭無比,甚於世間諸臭,凡聞其味者無法抵抗 ,個個五官變形 ,勝義火供的實相法已經達成圓滿。
據了解,八十多年來沒有出現過勝義火供法,都是在講理,沒有佛菩薩出現,無論任何人修的,沒有出現過真正這樣實相顯法的勝義護摩法會。也就是說,在西藏地區與印度等世界各國,八十多年前有過這樣殊勝的火供法會,現在是第二次出現,讓我們親自在現場見識了真正如來正法的至高偉大。
還有更殊勝的,這一場勝義火供法會除了勝境空前,威力無窮之外,火供壇煙在大殿上升,壇煙在整個大殿上空密布,可頂上的煙霧偵測器卻一聲不吭, 這實在太神奇,在這大殿只要抽一支煙,抽到一半就會響警報並撒水下來的, 勝義法會上佛菩薩的力量,竟如此殊勝微妙。
就這樣,勝義護摩火供出現無比殊勝聖蹟,參加法會的善信十分激動, 連著名的莫知教尊也失了定,興奮地五形異位,眾人盡其供養巨聖德,可巨聖德分文不受,讓他們各自收起來了。
自此在這個世界上聖蹟寺建成了真正的內密壇場,因為大家親自見到了「暗送菩薩一表」,可是巨聖德說,最好還是你們自己找大聖德「上金剛三杵」,這樣才有供在那裡的實物,來體現內密壇場是真正建立了。
我親自參加了這場實相勝義火供大法,讓我深深感受到與大聖德講的一樣:「常規火供與勝義火供相比之下無非是九牛一毛的作用,小兒科而已。」難怪一位教尊說,「勝義火供由虛空金剛佛母現場點火與普通人工點火的火供功德,是幾千倍的差距。」
此次勝義火供所用壇爐、供桌和相應法器都會供在聖蹟寺,供人瞻仰。
說到這裡我要補充件最重要的事, 19 日勝義火供法會圓滿結束後,就在現場大雄寶殿裡,南無巨聖德宣布:「今日這場大法會已經修了,祿東贊法王等到了這場法會,這是他最後一場獲加持的法會。」,祿東贊法王在前幾天的聯合國際世界佛教總部公告中說:「等最後一場法會後他要盡快圓寂」。兩位法師還勸他留下來弘法度生,法王說:「有佛陀師父住世,我這樣的證量怎麼派得上用場!人生就是一場夢,早遲都要走,因緣和合,幻化而有,緣盡則散,算了,不住了!」他還說:「我的生死是我自己決定的,想什麼時候走就什麼時候走,跟趙玉勝聖德不同,要靠佛菩薩定時來接他。」這個祿東贊法王生死自由,果然說到作到,在法會第二天9月20日,沐浴著袍,擺上文具於法座,給南無第三世多杰羌佛寫拜別文書說到「墨跡未乾圓寂」,他能寫說「墨跡未乾圓寂」,那就是他一放筆就圓寂了。

(華府新聞日報) 終於見到了佛史上傳聞的勝義火供大法 PDF
(台灣時報) 終於見到了佛史上傳聞的勝義火供大法 PDF
華府新聞報鏈接:http://www.washingtonchinesedailynews.com/index.php/en/dcnews/%E6%96%B0%E8%81%9E%E8%90%AC%E8%8A%B1%E7%AD%92/4165-%E7%B5%82%E6%96%BC%E8%A6%8B%E5%88%B0%E4%BA%86%E4%BD%9B%E5%8F%B2%E4%B8%8A%E5%82%B3%E8%81%9E%E7%9A%84%E5%8B%9D%E7%BE%A9%E7%81%AB%E4%BE%9B%E5%A4%A7%E6%B3%95.html
台灣時報鏈接:http://www.taiwantimes.com.tw/ncon.php?num=24764page=ncon.php
3. 金剛換體禪–祿東贊法王神識出體取物
2.至高佛法 再次震撼世界

佛教中的生死自由、自由掌控生死,一直都是個傳說,但在2018年9月,我卻親眼見到了!!
釋迦牟尼佛的佛教在世界弘揚了兩千多年,支分派別,各立宗風。祖師們、高僧大德們,都離不開演說自己擁有的最好教法,標榜各自都能教人最終成就解脫。結果如何?事實證明,在實際的解脫中,歷史上真正成就的人非常少,而修法未得成就者甚多。取得顯赫成就的,如:達摩、慧能、憨山等,近代有虛雲、慧明、勝清等長老,又如有蓮師、宗喀巴大師、嘎瑪巴大師、阿底峽尊者、月賢王尊者等。但這樣的成就聖德何其稀少,尤其近百年來,末法時期愈入深透,真正的如來正法幾乎已經失傳了。包括現代享名於世的高僧大德等頭銜人物,到臨命終時痛苦而終,生死未能了脫,更談不上生死自由。
南無 第三世多杰羌佛 把如來大法帶到了人間,恢復了釋迦牟尼佛教法的本原,續佛慧命,更帶至了深化捷徑成就的佛教宗風。比如《解脫大手印》,比如“勝義內密境行法”的灌頂,以及無與倫比的修行法度,和至高快捷的成就法,更是史無前聖,說之不盡,道之不完。都知道南無第三世多杰羌佛五明登峰、佛陀聖量,確實,都拿出了事實擺在那裡。可是,筆者想提示一個問題給大家思考,這是羌佛的成就,如釋迦牟尼佛一樣,是佛陀自身的成就,與我們沒有關係,真正與我們息息相關的,是要能教人成就。這才是至要至要!我們對此實地考察,的的確確,羌佛所教的大成就者歷歷在目,如通慧長老、普觀長老、果章長老、永定法師、王靈澤尊者、王陳娥芬居士、悟明長老、意昭長老、因海聖尊,又如候欲善聖德,林劉惠秀聖德,趙玉勝聖德等等,在實踐中證明瞭羌佛所教的人取得了顯赫的成就。
而羌佛的弟子世界佛教總部主席祿東贊•慈仁嘉措法王,更是展示了生死自由的驚世記錄!

祿東贊法王一生拜學過很多佛教著名人物,自1995年拜第三世多杰羌佛為師以來,好似拾到了珍稀至寶。恰如漢人中唯一的拉然巴格西——洛桑珍珠格西在答記者問中,說他自己學佛六十年,不如跟羌佛學一天!這是什麼概念啊!祿東贊法王學到羌佛傳的行與法後,放棄了所有以前學到的沒有效果的法,專修羌佛所傳甚深佛法,證量突飛猛進,福慧圓滿,2004年展示了大力王金剛之力,在勝義浴佛法會上,當眾抬起四千多磅重的浴佛蓮池取水,2009年當眾修法神識出體取得金剛丸,最終明心見性,證到了法身,有銀盒帶至今傳世弘揚。
2015年台灣覺行寺興建籌備委員會邀請祿東贊法王出任覺行寺方丈,7月16日祿東贊法王給覺行寺興建籌備委員會的信中,告知他不能擔任覺行寺的方丈,因為他沒有因緣了(見《聖德高僧們的重要答復-第十八道答案》)。
在2017年依固聖德的文章《我敢保證功德與罪業、佛降甘露》中,引用了祿東贊法王的原話,告訴廣大行人他等不到古佛寺奠基了:“……我祿東贊•慈仁嘉措,根本沒有資格做古佛寺方丈……任古佛寺監院都還不夠格呢,更何況我已經沒有瞻仰禮拜古佛寺的因緣了。……我雖然對生死有把握,但到了佛土再返回人間,我就沒有把握,因為不知道阿彌陀佛批不批准我返回人間現身禮佛,除非南無羌佛恩師召喚我。” 如此有把握的預知生死,是何等大法才能得到的成就啊!
世界佛教總部在2018年的第20180102號回覆諮詢中說:“今天總部兩位董事去請示法王,有人問法王什麼時候圓寂,祿東贊法王說,他是修第三世多杰羌佛本尊法成就了生死自由的,他會盡快把最後一場法修了,寫下決定圓寂書就圓寂,不會耽誤時辰。”聖德組的聖德們聽了,立刻進入擇訣觀照,發現祿東贊法王已經圓滿證達三段金釦上尊位!
法王能如此斷言,為什麼?當今這個世界,哪裡能找到如此生死自由的佛法?已有近百年沒有發生過如此震撼世界的佛法了。法王說他要等到最後修完一場法就盡快圓寂,他要等的是什麼法?他又要留下一份什麼樣的決定書?反正很快,無非就是等一場法會的時間而已,是空洞的說辭還是真實的大法,我們就拭目以待吧!
2018年9月,祿東贊法王祈請佛陀恩師南無第三世多杰羌佛修一場勝義的火壇大供,他說:“用這最高最大的如來正法,來證明那些在社會上打著宗派傳承旗號的人物是凡是聖,是不是失傳正法的佛教外行。這些帶邪惡見的人,他們在網上社群中大力破壞誹謗羌佛恩師的行與法。我們唯有這樣,才能破邪顯正!”
羌佛說:“你錯了,不能為了自己讓別人難過。我修不了這個法,就是要修也只能按儀軌念誦而已。”祿東贊法王又說:“就算不為佛陀恩師自己證明去修,也要為如來正法,為整個西方世界的眾生息災祈福,為祿東贊弟子我祈請正法、圓滿資糧而修啊!”羌佛說:“既然為整個西方的正法大事因緣,為利眾生而作祈福,你放心,這場法會要修,就算我不修,也會有巨聖德來修。”
9月17日,由一位金屬製造專家領隊趕製了一具黃銅壇爐。9月18日,祿東贊法王處的宣慧師姐送來了燒護摩火供用的檀香木和木炭等。9月19日,“勝義火供大法會”在美國聖蹟寺正式開壇舉行。“勝義火供法”是除障增福法中之王,只在八十年前由西藏的頗邦卡大師和康薩仁波且修成功過,之後漢藏兩地的所謂火供法都是書本和口稱是勝義修法,實際上沒有聖境展顯,只是儀軌念誦、世相顯修。而9月19日美國聖蹟寺的這場由巨聖德主持的勝義火供大法會,金剛佛母親臨虛空,全身藍色放光,身高巨大,網路文章說有人看到金剛佛母在虛空中用手指彈出一道閃光,壇爐就燃了,我訪問了幾個人 ,他們都看到藍色金剛佛母顯形在虛空,高大威猛無比,變化身形動作,周身有電火網盤旋圍繞。 有人看到金剛佛母由眉間發出的火電,有人看到是從指尖發出的火電,護摩衛士剛一祈請完畢,金剛佛母眉間突然放出一道閃光射入壇爐,剎那燃起熊熊大火!當時壇爐中只有臨時放入的五塊檀木,怎麼會瞬間燃起熊熊大火?爾後,被捉拿在金剛伏魔缽中的妖魔拼命掙紮想要震蕩開伏魔缽逃脫,就在這震動的一剎那,金剛佛母眉間又放出一道火光射向伏魔缽,只聽“轟”的一聲,伏魔缽放出金光火焰,妖魔及行人黑業頓時化為齏粉,金剛佛母將魔魂收往佛土教化!法會現場近百行人驚撼無比,匍匐禮拜不止!
法會上,巨聖德對行人宣佈:這場法會已經修了,法王祿東贊馬上要圓寂離開了。
果然,祿東贊法王說了要等的最後一場法會就是這場法會,第二天,他便沐浴更衣,進入修法,在禪坐前擺上寫字台、筆墨、宣紙、塗改液,給南無第三世多杰羌佛寫下了拜別文書,當下坐化圓寂!各個寺廟的僧侶們聞悉趕到,法王早在最後落筆的剎那間,毫不拘束,瀟灑圓寂。此時眾人才恍然大悟,原來,祿東贊法王的拜別文,是為眾生指明如來正法大法的所在處,是南無第三世多杰羌佛所掌控的,如釋迦牟尼佛一樣的,只屬於佛教而沒有派別的佛法!
弟子祿東贊慈仁嘉措決定圓寂
2018年9月20日”
下面是祿東贊法王寫下的拜別文:
“拜別文
南無第三世多杰羌佛恩師
弟子祿東贊慈仁嘉措決定圓寂
人生歲月集苦,奔走求道學佛。
從師依止多位,廣欽宣化卡魯。
頂果欽哲法王,薩迦不共道果,
勤修苦練無效。感恩佛陀師父,
解脫手印無上。密傳灌頂聖法,
我達生死自由。現量見證為實,
就此落筆離世,墨跡未乾圓寂。
南無羌佛恩師!弟子東贊拜別。
2018年9月20日”

3.金剛換體禪–祿東贊法王神識出體取物

祿東贊法王:祿東贊尊者第一世,即唐朝時迎請文成公主進藏的吐蕃宰相。他英勇果敢,智慧過人,深受藏王松贊乾布倚重。他更是一位大修行的尊者,歷世渡生,協助松贊乾布為西藏佛法的弘揚奠定了堅實的基礎。
H.H. 祿東贊尊者第四世慈仁嘉措仁波且,是第三世多杰羌佛的弟子,現任華藏寺第二任法王。早年遍訪拜學多師無果,後依止第三世多杰羌佛修學心地法門,於真如佛性中返本還源。受第三世多杰羌佛境行灌頂修學現量大圓滿,一個時辰內證入虹身境界。再修《解脫大手印》境行法之金剛換體禪,兩小時內開頂,經核磁共振儀檢測照片,見頂門骨肉腦髓大開約一英吋寬。自此神識出入肉體無礙,曾當著尊者仁波且們展顯了神識取物聖量。已四大皆空、明心見性、徹證真如。祿東贊法王公開發願效學 第三世多杰羌佛 願力,今生只利益眾生,絕不收受任何供養,他說到做到。如此聖潔德境,當今世界的活佛法師中實難尋找。祿東贊法王是經七師十證公開考試,現場證實為合格的碩士道師資聖德。第三世多杰羌佛對他說:“祿東贊啊,祿東贊,你就是個懶蟬子,獨行獨步,證到了碩士道師資,卻只管自己修持,不與人交往,應該改改這毛病,否則你說的要追上莫知仁波且就成空話了。”
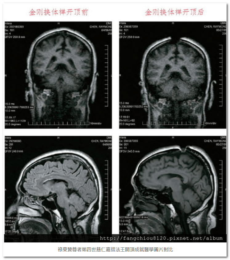
這是祿東贊法王修境行法“金剛換體禪”前後,MRI核磁共振儀腦斷層掃瞄檢測照片。可以清楚看見,開頂後,頭頂大樂輪門處的頭骨、皮層和肉、腦髓裂開約一英吋寬。

祿東贊法王修金剛換體禪令神識出體取物
2009 年,在一場法會中,行人們提出金剛換體禪神識外用的事, 第三世多杰羌佛 對祿東贊法王說:“你這懶蟬子什麼也不做,你就給大家做一點事吧。”當下祿東贊法王合掌恭敬白佛言:“慚愧,弟子無能,我就給大家做一個神識外用吧。”於是祿東贊法王當場修法展顯金剛換體禪聖力,神識外用取物。一顆金剛丸被當眾放入綠色法缽中,眾人將法缽請入法帳,數十人圍坐法帳四周,目不轉睛地看住法缽和金剛丸,不讓任何人靠近。祿東贊法王坐在離法帳約兩丈遠的草地上修法,起法後幾分鐘,突然一道靈光飛入法帳,金剛丸頓時不見了,就這樣到了兩丈遠處的祿東贊法王手中!四座震駭! 【神識取物詳情見《千年難見的真佛法現前》DVD 實況錄像。




此文章連結:https://history-of-buddhism.com/2020/11/02/終於見到了佛史上傳聞的勝義火供大法-祿東贊法王/
依法圓福慧 : https://history-of-buddhism.com/